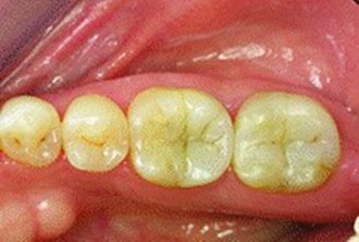
Onlay céramique
Les onlays sont des alternatives aux obturations de volume important, permettant parfois d’éviter une prothèse nécessitant une préparation plus importante de la dent.
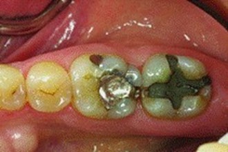
Pourquoi me propose-t-on un onlay plutôt qu’un simple plombage ou une simple résine ?
- Résistance mécanique bien meilleure que celle des obturations réalisées par les techniques
- Joint de meilleure qualité.
- Fiabilité du point de contact avec les dents adjacentes, ce qui permet de réduire le risque de reprise de carie et les problèmes d’inflammation
- Possibilité d’éviter une couronne, en cas de caries de volume important, qui entraînerait un délabrement plus invasif sur votre
- Les onlays réalisés au cabinet sont exclusivement en céramique et reproduisent de façon exacte la teinte et la forme de vos dents au cours d’une séance
- Une empreinte optique permet la conception virtuelle, puis usinage dans un bloc de céramique qui va ainsi s’insérer par collage parfaitement dans la cavité comme une pièce de puzzle.
Remboursement
L’onlay est partiellement remboursé par la Sécurité Sociale. Ces soins peuvent être éventuellement pris en charge par votre mutuelle en fonction du type de contrat auquel vous avez souscrit.


